계단을 오르내릴 때 무릎이 찌릿하거나, 앉았다 일어설 때 통증이 느껴지면 무릎 관절염 증상을 의심해볼 수 있어요. 나이가 들수록 더 자주 나타나는 증상이지만, 생활 습관이나 체중 증가로 인해 젊은 층에서도 발생할 수 있어요. 이 글에서는 무릎 관절염 증상을 중심으로, 그 진행 단계와 치료 방법, 도움이 되는 음식과 생활 개선 팁까지 자세히 알려드릴게요.






무릎 관절염 증상이란?
무릎 관절에 나타나는 통증과 불편감
무릎 관절염 증상은 무릎 주변에 나타나는 통증, 뻣뻣함, 부종, 움직임 제한 등을 포함해요. 처음에는 계단을 오를 때 무릎이 살짝 아프거나 오래 앉은 뒤 일어날 때 뻣뻣함을 느끼는 등 일시적인 불편으로 시작돼요. 하지만 이런 증상을 방치하면 점차 통증의 강도와 빈도가 증가하고, 무릎을 구부리거나 펴는 동작이 힘들어지며 일상생활에 지장을 주게 돼요. 통증은 아침에 일어났을 때나 활동 후에 더 심해지는 경우가 많고, 간혹 무릎이 붓거나 열감이 동반되기도 해요.



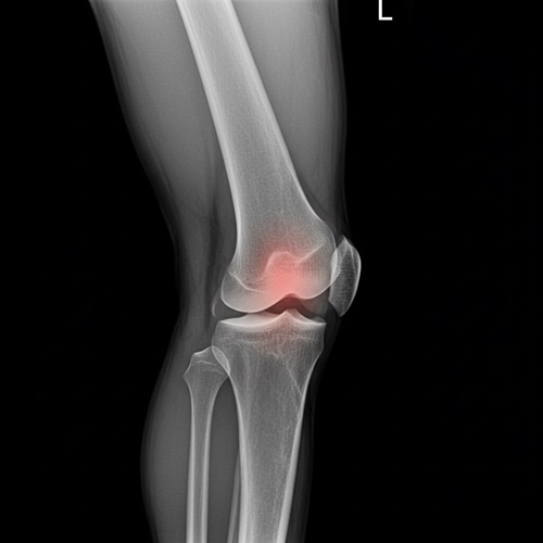
무릎 관절염 1기와 2기의 차이
1기는 자각 증상이 거의 없거나 간헐적인 불편함 정도로, 무릎에 약간의 뻣뻣함이 느껴지고 운동 후에만 통증이 있는 경우가 많아요. 이 시기는 엑스레이 검사에서도 큰 이상이 나타나지 않을 수 있어요. 반면, 2기에는 통증이 점점 자주 발생하고, 무릎을 꺾거나 움직일 때 소리가 나거나 저림 증상까지 동반될 수 있어요. 이 단계부터는 엑스레이 상에서 연골의 마모와 관절 간격 감소가 관찰돼요. 무릎 관절염 증상을 이 시점에서 인지하고 적절한 조치를 취하는 것이, 이후 진행을 막는 중요한 전환점이 돼요.






무릎 관절염 증상의 주요 원인
- 노화로 인한 연골의 자연 마모
- 비만으로 인한 관절 부담 증가
- 과도한 운동 또는 무릎을 많이 사용하는 직업
- 잘못된 자세와 생활습관
- 과거 무릎 부상이나 수술 이력
이러한 요인들이 무릎 관절염 증상을 유발하고, 방치할 경우 점차 악화될 수 있어요.






무릎 관절염의 진행 단계
1기 ~ 4기까지의 변화
무릎 관절염은 보통 4단계로 구분돼요. 1기는 통증이 거의 없거나 일시적인 수준이고, 2기에는 일상생활 중 통증과 뻣뻣함이 발생해요. 3기부터는 연골 손상이 명확해지고, 4기는 연골이 거의 닳아 관절 간격이 사라지며 극심한 통증과 기능 저하가 나타나요. 무릎 관절염 증상이 반복되고 악화된다면 빠른 진단과 대처가 필요해요.
| 단계 | 주요 증상 및 특징 | X-ray 소견 | 일상생활 영향 |
| 1기 | 거의 통증 없음 또는 가벼운 불편감, 간헐적 뻣뻣함 | 정상 혹은 미세한 연골 마모 | 활동에는 큰 지장 없음 |
| 2기 | 통증 자주 발생, 무릎이 뻣뻣하고 가끔 붓는 느낌 | 관절 간격 약간 좁아짐, 초기 연골 마모 | 계단 오르내릴 때 불편, 오래 걷기 힘듦 |
| 3기 | 지속적인 통증, 무릎을 굽히기 어려움, 마찰음 발생 | 연골 손상 뚜렷, 관절 간격 현저히 좁아짐 | 일상 동작에 제약, 걷기나 일어서기 어려움 |
| 4기 | 극심한 통증, 무릎 변형, 기능 저하 | 관절 간격 거의 소실, 뼈끼리 맞닿음 | 정상적인 보행 어려움, 수술 고려 가능 성 |






무릎 관절염 증상 완화를 위한 방법
치료법과 치료기기
무릎 관절염 증상 초기에 보존적 치료를 진행하는 것이 좋아요. 물리치료, 온찜질, 체중 조절, 무릎 보호대 사용 등이 일반적인 방법이에요. 무릎 관절염 치료기로는 온열 마사지기, 진동 치료기 등이 있는데, 이는 혈액순환을 돕고 통증을 완화하는 데 유용해요.
무릎 관절염 도수치료
도수치료는 전문 치료사의 손을 이용해 근육과 관절의 정렬을 바로잡고, 관절 가동범위를 늘리는 방법이에요. 무릎 관절염 증상이 경미하거나 중기 정도일 때 효과가 좋아요.
무릎 관절염 파스와 보조요법
국소 부위에 붙이는 파스는 일시적인 통증 완화에 도움을 줄 수 있어요. 무릎 관절염 증상이 심하지 않다면 일상에서 간단히 적용할 수 있는 방법이에요. 다만 장시간 의존하지 않는 것이 좋아요.






무릎 관절염에 좋은 음식과 식습관
- 오메가3가 풍부한 생선류 (연어, 고등어)
- 항산화 성분이 많은 채소와 과일
- 비타민 D와 칼슘이 풍부한 유제품
- 염증 완화에 좋은 강황과 생강
균형 잡힌 식사를 유지하고, 체중을 적정하게 유지하는 것이 무릎 관절염 증상을 완화하는 데 도움이 돼요. 물도 자주 마셔 관절 내 윤활을 돕는 것도 중요해요.






생활 속에서 실천할 수 있는 예방법
- 무릎에 무리가 가지 않도록 체중 관리하기
- 계단 이용 줄이고 엘리베이터 활용하기
- 장시간 서 있거나 쪼그려 앉는 자세 피하기
- 규칙적인 스트레칭과 가벼운 걷기 운동 실천하기
- 무릎에 충격이 적은 신발 신기
생활 습관 개선만으로도 무릎 관절염의 악화를 막을 수 있어요. 특히 초기에 발견하고 관리하는 것이 가장 중요해요.






무릎 관절염 증상 핵심 요약
- 무릎 통증, 뻣뻣함, 부종은 대표적인 무릎 관절염 증상이에요
- 1기에는 가벼운 불편감, 2기부터는 통증이 점점 잦아져요
- 원인에는 노화, 체중 증가, 무릎 과사용 등이 있어요
- 온찜질, 치료기, 도수치료, 파스 등이 증상 완화에 도움돼요
- 연골 보호에 좋은 음식으로는 오메가3, 비타민 D 등이 있어요
- 생활 속 자세와 체중 관리가 예방의 핵심이에요
이처럼 무릎 관절염 증상은 누구에게나 생길 수 있지만, 꾸준한 관리와 평소 나타나는 증상에 관심을 기울이고 적절한 대처를 한다면 노년에도 건강한 관절을 유지할 수 있답니다.





